병원소개
서울탑플란트의 특별함
의료진소개
병원둘러보기
첨단장비소개
진료시간&오시는길
임플란트
임플란트 바로알기
컴퓨터 분석 임플란트
앞니 임플란트
어금니 임플란트
전체 임플란트
치조골이식/상악동거상술
보험 임플란트
심미치료
치아성형
치아미백
일반치료
충치치료
신경치료
틀니
사랑니
커뮤니티
공지사항
온라인상담
치료전후사진
비급여수가표
HOME
LOGIN
JOIN
SEOUL TOP PLANT
HOME
치료전후사진
신경치료
서울탑플란트치과
2021-10-13
318
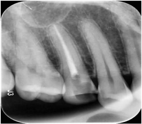
Before
After
Before
After
치아가 많이 썪은 경우 신경치료를 하고 치아를 살릴 수 있습니다.
등록된 댓글이 없습니다.
패스워드
패스워드
이전글
앞니 충치 치료
다음글
치경부 마모증
목록
QUICK
네이버예약
카카오톡상담
치료전후사진
진료시간
&오시는길
TOP